Ultrafast Sonography

Shape

At GIC prime imaging center, we have introduced India’s first advanced Mindray Resona I-9 Sonography machine that has a full suite of advanced imaging tools, with the power of Artificial intelligence to drive workflow productivity.

Smart Evaluation features:
  • Smart evaluation of breast lump and malignancy.
  • Smart evaluation of thyroid gland.
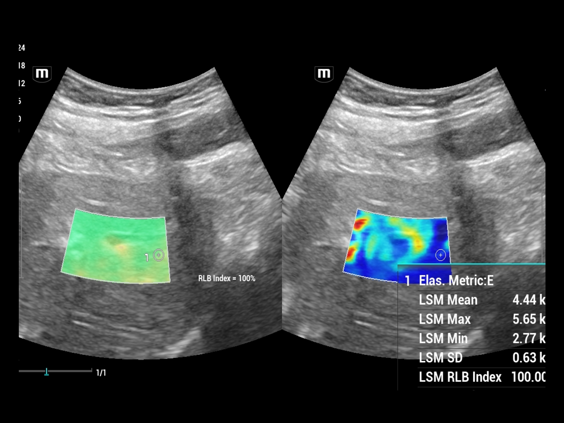
  • Best in class Elastography (Fibroscan) scans are done for Breast, Liver and Prostate pathologies. 
  • 3D/4D Fetal USG to monitor developing baby’s health and development. It is possible to measure cerebral diameters and Fetal biometry accurately.
  • Carotid Doppler to evaluate the atherosclerotic changes and risk evaluation for stroke.
  • Machine is equipped with all MSK probes for USG of all joints.
  • USG guided interventional procedures like FNAC, Tapping and Biopsy are also done by Expert Radiologists.