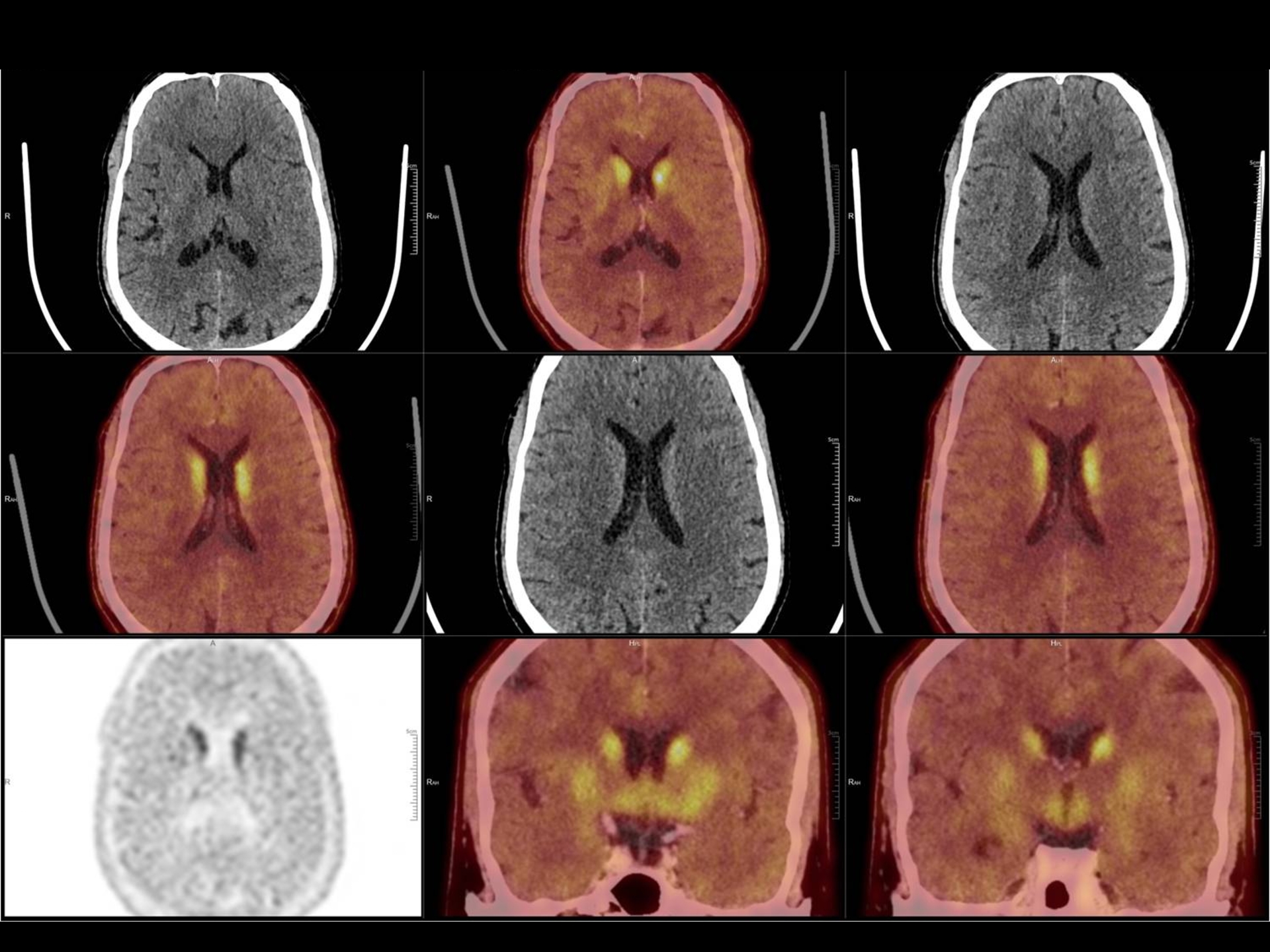
160 Slice Digital Pet-Ct 

Shape

India’s first 160 slice High Resolution Digital PET-CT provides a revolutionary breakthrough in the combination of clarity, sensitivity, coverage and speed.

It takes just 5.5 minutes to complete the whole body scan.

It is possible to get very good quality images even with a very low dose of FDG (Radiation) and less time.

Sensitivity of detecting very small lesions (upto size of 5 mm) is very high.

Special scans like :
  • PSMA for Prostate malignancy .
  • Ga-DOTA to diagnose NET (Neuroendocrine tumors).
  • F-DOPA for Neurodegenerative diseases like early Parkinson’s disease, Alzheimer’s disease and Dementia are also done.